Biliary - Extreme GB distention in setting of cholangiocarcinoma

← Back to List

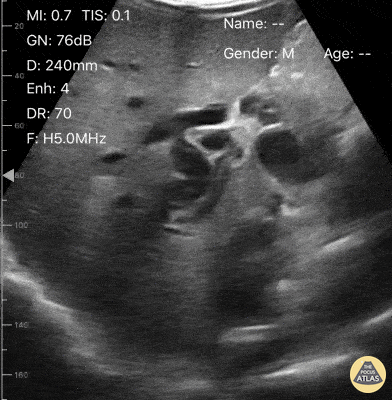
Biliary - Extreme GB distention in setting of cholangiocarcinoma

Caption

A 40-year-old male presented to the ED with several week hx unintentional weight loss and new onset jaundice. POCUS of his RUQ demonstrated an overtly distended gallbladder with plethoric intra-hepatic circulation causing compression of the right kidney. As expected, he had laboratory evidence of an elevated direct bili and acute kidney injury. Subsequent MRI confirmed the diagnosis of cholangiocarcinoma. Dr. Victor Bang. Emergency Physician at Hospital das Clínicas de Marília. Co-founder of Pocus Jedi. @vmjbang

Source

https://www.thepocusatlas.com/hepatobiliary


Metadata