Biliary - Normal Portal Triad without Doppler

← Back to List

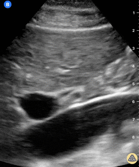
Biliary - Normal Portal Triad without Doppler

Caption

The large, pulsatile inferior vena cava lies at the bottom of the screen. Anterior to it and from left to right we see the large portal vein and small, round hepatic artery. Just above the hepatic artery lies another tubular structure which presents hyperechoic walls and an anechoic lumen; this is the common bile duct. Dr. Felipe Urriola P. Emergency Unit, Puerto Aysen Hospital. Chilean Patagonia.

Source

https://www.thepocusatlas.com/hepatobiliary


Metadata