Biliary - Adenomyomatosis

← Back to List

Biliary - Adenomyomatosis

Caption

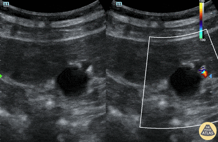
A middle aged patient presented with epigastric pain and vomiting. Ultrasound identified anechoic cystic thickening of the gallbladder wall associated with comet-tail artifact and twinkling artifact. Findings were consistent with adenomyomatosis, a generally benign condition caused by hyperplastic growth of the gallbladder mucosa often associated with chronic inflammation. Michael Cover, MD @michaelc0ver

Source

https://www.thepocusatlas.com/hepatobiliary


Metadata