Bowel-GI - Large Volume Ascites on Transverse Pelvic View

← Back to List

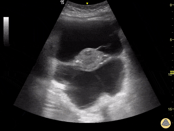
Bowel-GI - Large Volume Ascites on Transverse Pelvic View

Caption

A 64-year-old woman with hepatic cirrhosis presented to the emergency room with abdominal pain. An abdominal POCUS exam was performed showing significant ascites. In this transverse pelvic view one can appreciate the uterus floating in ascites. This image finding is also known as the "TIE Fighter Sign" in reference to the famous Starwars galactic empire ship. Image Courtesy of Dr. Renato Tambelli @RTambelli / @JediPocus

Source

https://www.thepocusatlas.com/bowel


Metadata