Biliary - Portal Venous Gas

← Back to List

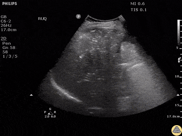
Biliary - Portal Venous Gas

Caption

RUQ ultrasound reveals air within the portal venous system in a patient with ischemic colitis. Something that can be difficult to distinguish from pneumobilia. Image courtesy of Robert Jones DO, FACEP @RJonesSonoEM Director, Emergency Ultrasound; MetroHealth Medical Center; Professor, Case Western Reserve Medical School, Cleveland, OH View his original post here

Source

https://www.thepocusatlas.com/hepatobiliary


Metadata