Biliary - Pneumobilia

← Back to List

Biliary - Pneumobilia

Caption

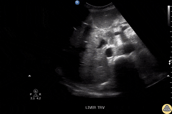
Air can be noted within the biliary tract in this ultrasound of the RUQ. This patient was s/p Whipple procedure. Image courtesy of Robert Jones DO, FACEP @RJonesSonoEM Director, Emergency Ultrasound; MetroHealth Medical Center; Professor, Case Western Reserve Medical School, Cleveland, OH View his original post here

Source

https://www.thepocusatlas.com/hepatobiliary


Metadata