Biliary - Emphysematous Cholecystitis

← Back to List

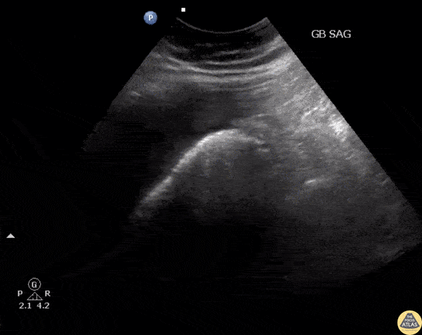
Biliary - Emphysematous Cholecystitis

Caption

RUQ US of a patient revealed air within the gallbladder consistent with emphysematous cholecystitis, which can easily be confused with bowel gas. Image courtesy of Robert Jones DO, FACEP @RJonesSonoEM Director, Emergency Ultrasound; MetroHealth Medical Center; Professor, Case Western Reserve Medical School, Cleveland, OH View his original post here

Source

https://www.thepocusatlas.com/hepatobiliary


Metadata