Biliary - Liver Hematoma

← Back to List

Biliary - Liver Hematoma

Caption

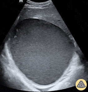
66 y/o male with a history of a recent CBD stent placement complicated by a ruptured hepatic artery resulting in a subcapsular liver hematoma that required IR drainage. He now presents to the ED with progressively worsening right upper quadrant abdominal pain. POCUS was instrumental in monitoring for continued bleeding following the initial drainage. In the clip, you can see the large hematoma, measuring 15 x 13 cm, obscuring most of the liver. Patient was admitted for surgical deroofing. Jennifer Kaminsky, MD PGY-2; @jen_kaminskyMD Pamela Santivanez, MD PGY-1 Sean Beckman, Rocky Vista University COM OMS-4 Joshua Greenstein, MD, Director of ED Ultrasound Northwell Health – Staten Island University Hospital

Source

https://www.thepocusatlas.com/hepatobiliary


Metadata