Biliary - Intrahepatic Ductal Dilation

← Back to List

Biliary - Intrahepatic Ductal Dilation

Caption

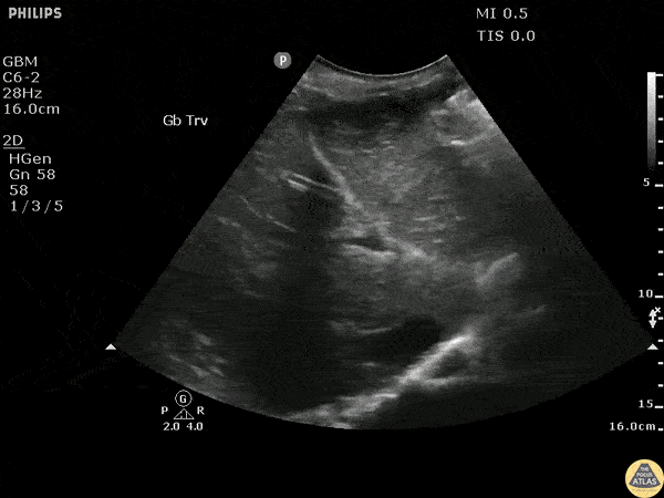
Transverse scan of the liver shows diffuse dilation of intrahepatic biliary ducts. Image courtesy of Robert Jones DO, FACEP @RJonesSonoEM Director, Emergency Ultrasound; MetroHealth Medical Center; Professor, Case Western Reserve Medical School, Cleveland, OH View his original post here

Source

https://www.thepocusatlas.com/hepatobiliary


Metadata