Biliary - Cholelithiasis - Impacted Stone
Caption
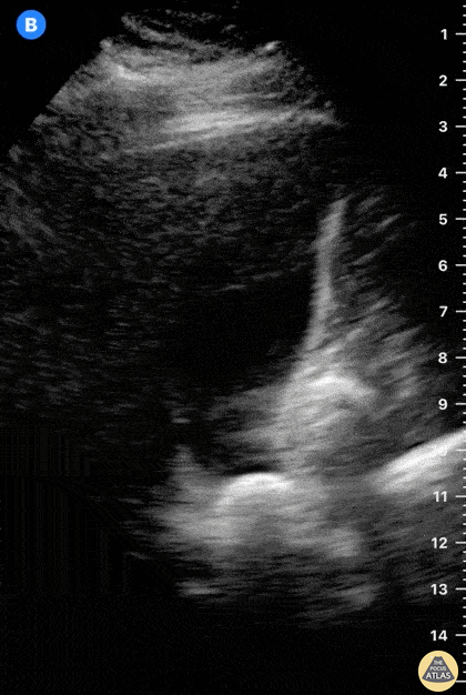
It’s fundamental to study the gallbladder in its whole extension. In this image, there is an impacted stone at the neck. Dr. Felipe Urriola P. www.thepocus.com
It’s fundamental to study the gallbladder in its whole extension. In this image, there is an impacted stone at the neck. Dr. Felipe Urriola P. www.thepocus.com