Biliary - Hepatic Abscess

← Back to List

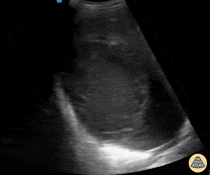
Biliary - Hepatic Abscess

Caption

A 50-year-old male presented with right upper quadrant pain, vomiting, and fever. A point-of-care ultrasound demonstrated a large, approximately 20cm heterogenous, well-demarcated mass in the liver. CT scan confirmed the presence of an abscess. IR-guided drainage yielded "anchovy paste" purulent aspirate, which later grew out Entamoeba histolytica. Amebic liver abscesses are the most common form of extra-intestinal amebiasis, but abscesses can also form in the lung and brain. He was treated with metronidazole without complications. Mark Zhang

Source

https://www.thepocusatlas.com/hepatobiliary


Metadata