Biliary - RUQ Color Doppler

← Back to List

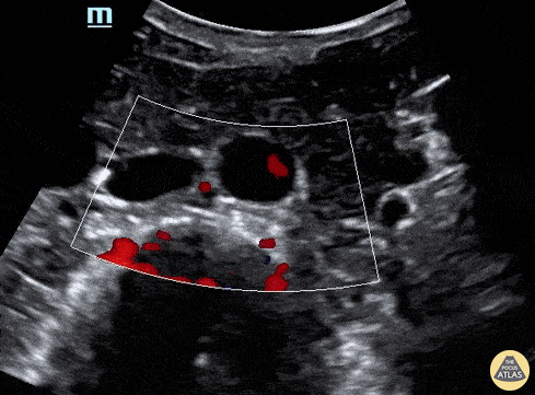
Biliary - RUQ Color Doppler

Caption

51 year old male with a chief complaint of RUQ abdominal pain for 3 days with nausea and vomiting. When looking to evaluate the aorta, IVC or gallbladder and you find multiple anechoic structures you can you use color doppler to help determine which structures have pulsatile blood flow, non-pulsatile or no flow in a effort to distinguish these anatomic structures. Lindsay Davis, DO, MPH, PGY1; @Lindsadavis18 Lydia Mansour, DO, PGY3 Emily Nagourney, MS4 Central Michigan University Emergency Medicine Residency

Source

https://www.thepocusatlas.com/hepatobiliary


Metadata