Biliary - Dilated cystic duct and spiral valves of Heister

← Back to List

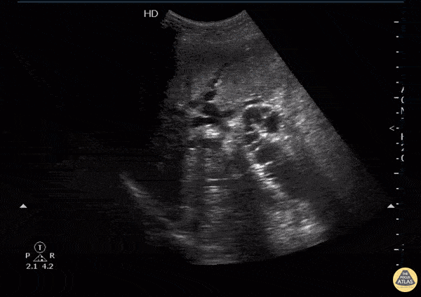
Biliary - Dilated cystic duct and spiral valves of Heister

Caption

Patient originally presented with right upper quadrant to mid epigastric pain with jaundice. An obstructing mass can be seen at the head of the pancreas along with intra-heaptic and extra-hepatic duct dilation. The “candy cane” appearing structure is the dilated cystic duct with spiral valves of Heister visible. Image courtesy of Robert Jones DO, FACEP @RJonesSonoEM Director, Emergency Ultrasound; MetroHealth Medical Center; Professor, Case Western Reserve Medical School, Cleveland, OH View his original post here

Source

https://www.thepocusatlas.com/hepatobiliary


Metadata