Biliary - Gallbladder cancer

← Back to List

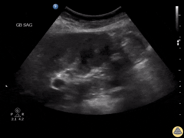
Biliary - Gallbladder cancer

Caption

Patient presented with right upper quadrant pain. Clip shown demonstrated what appeared to be sludge however it was non-mobile and color doppler demonstrated internal flow. Further work up revealed gallbladder malignancy. Image courtesy of Robert Jones DO, FACEP @RJonesSonoEM Director, Emergency Ultrasound; MetroHealth Medical Center; Professor, Case Western Reserve Medical School, Cleveland, OH View his original post here

Source

https://www.thepocusatlas.com/hepatobiliary


Metadata