Biliary - Pyogenic Liver Abscess with Pleural Effusion

← Back to List

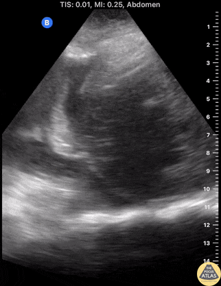
Biliary - Pyogenic Liver Abscess with Pleural Effusion

Caption

A elderly female with severe sepsis with E. coli bacteremia initially thought to be from urinary source developed worsening hypoxia overnight. Using a Butterfly US, a moderate-sized right pleural effusion with associated ~6cm liver abscess is seen. These images helped mobilize pulmonology and IR to place a chest tube and hepatic drain, which led to resolution of hypoxemia and sepsis. Hepatic drain cultures grew E coli. Although one may appreciate a diaphragmatic defect on the image, the pleural fluid remained sterile. POCUS in this case led to successful identification of the true sepsis source and associated pleural effusion as a complication of pyogenic liver abscess. Contributors: Eric Reid, MD

Source

https://www.thepocusatlas.com/hepatobiliary


Metadata