← Back to List
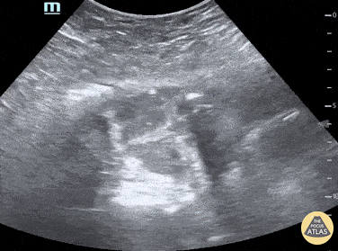
Small bowel obstruction (SBO) featuring “to and fro” movement and tanga sign. Francisco Norman
https://www.thepocusatlas.com/bowel
View: Unspecified Parasternal Long Axis Parasternal Short Axis Apical Four-Chamber Subcostal Four-Chamber Subcostal Inferior Vena Cava Right Upper Quadrant Left Upper Quadrant Suprapubic Longitudinal Suprapubic Transverse Subxiphoid Anterior Thoracic Phrenic
Normal:
Tags:
Notes: