Biliary - Thick Walled Gallbladder in Dengue Fever (Long Axis) [1/2]

← Back to List

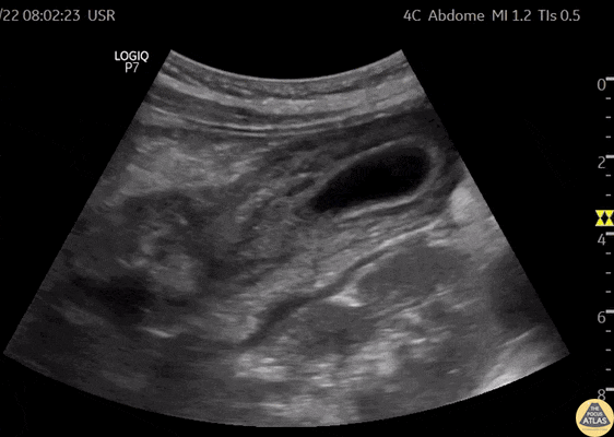
Biliary - Thick Walled Gallbladder in Dengue Fever (Long Axis) [1/2]

Caption

A 28 year old female comes to the ER with fever, myalgia, hypotension, and abdominal pain. This case illustrates one of the ultrasound findings in Dengue Fever in the Leakage Syndrome Stage. We can see a large, thick-walled gallbladder and the presence of pericholecystic fluid. This clip demonstrates the gallbladder in long-axis view. Contributor: Renato Tambelli (@R_Tambelli @JediPocus)

Source

https://www.thepocusatlas.com/hepatobiliary


Metadata