Orbital - Vitreous Detachment

← Back to List

Orbital - Vitreous Detachment

Caption

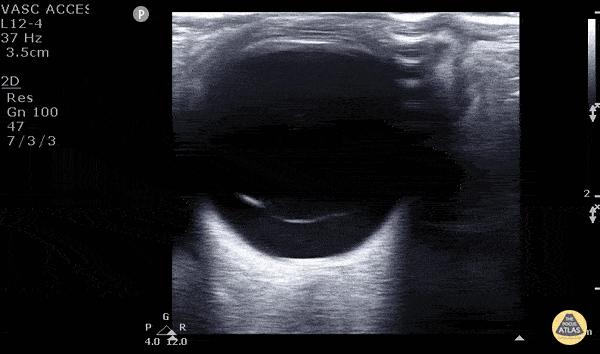
40 year old male with 6 months of decreased vision from his left eye. No pmh or history of trauma. VA was obviously decreased relative to the contralateral eye. POCUS rapidly revealed a freely floating hyperechoic membrane consistent with vitreal detachment. To differentiate between a vitreous and retinal detachment you must look to see if the membrane is attached to the hypoechoic optic nerve. The retinal is continuous with the optic nerve therefore stays attached to the optic nerve in a retinal detachment. A vitreous detachment would be completely untethered as seen in this image. You can also see the “washing machine sign” better pictured in other images in this gallery. Matt Riscinti, MD Bryan Flores, MD - Kings County Emergency Medicine

Source

https://www.thepocusatlas.com/ocular


Metadata