Bowel-GI - Small Bowel Obstruction

← Back to List

Bowel-GI - Small Bowel Obstruction

Caption

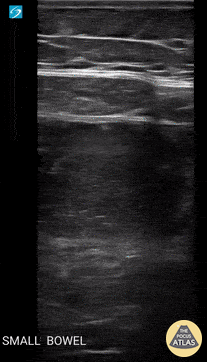
30-year-old presented with 2-day history of abdominal pain, abdominal distention, and vomiting. Pertinent PMH includes prior hemicolectomy due to Crohn's disease. Seen here is POCUS evidence of SBO. Ahmad Khan @kadiwls

Source

https://www.thepocusatlas.com/bowel


Metadata