Orbital - Lens Dislocation

← Back to List

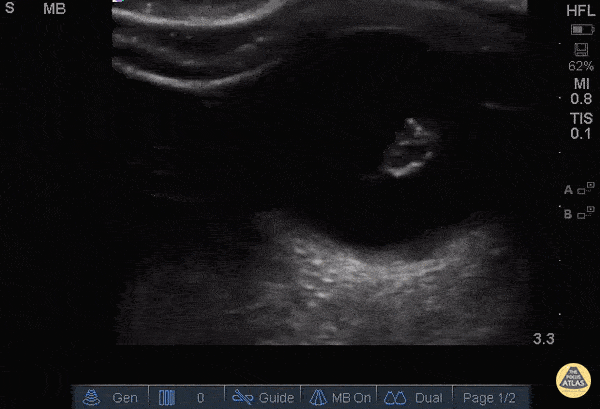
Orbital - Lens Dislocation

Caption

Patient with severe maxillofacial trauma of unclear etiology. Ocular POCUS demonstrates a biconvex structure with a hyperechoic rim consistent with traumatic lens dislocation. Dr. Joshua Schechter - SUNY Downstate/Kings County Emergency Medicine

Source

https://www.thepocusatlas.com/ocular


Metadata