Orbital - Retinal Detachment

← Back to List

Orbital - Retinal Detachment

Caption

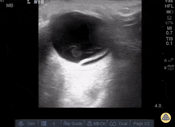
Here a hyperechoic linear density is seen arising from the location of the fundus, indicating retinal detachment. Posterior vitreous detachment and vitreous hemorrhage can look similar to retinal detachment. Given the imminent risk of blindness in these conditions it is essential to identify them as soon as possible. POCUS is an excellent way to do so given the time and skills required to perform a proper fundoscopic exam. Literature has shown sensitivity for this test to be 97-100% and specificity 83-100%. So next time ask yourself... is your fundoscopic exam that good? Sukh Singh, MD

Source

https://www.thepocusatlas.com/ocular


Metadata