Bowel-GI - Intussusception
Caption
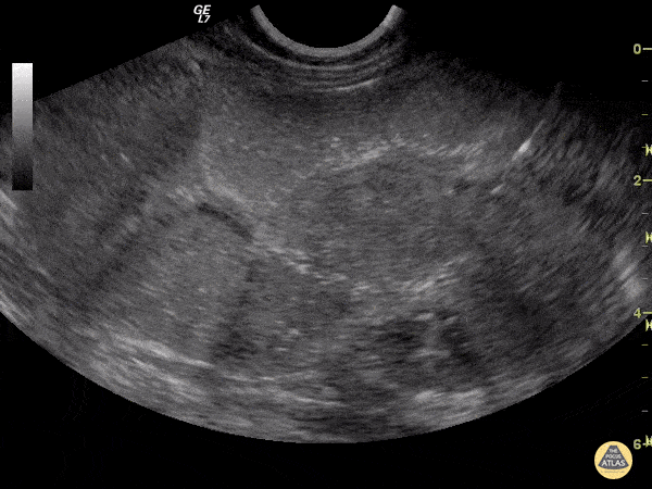
Here we can see an intussusception. Multiple layers and concentric rings, target configuration on cross-sectional imaging. Evgeny Domanin
Here we can see an intussusception. Multiple layers and concentric rings, target configuration on cross-sectional imaging. Evgeny Domanin