Orbital - Looking Around - Normal Exam

← Back to List

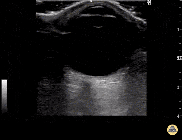
Orbital - Looking Around - Normal Exam

Caption

Normal ocular ultrasound over closed eyelid as patient moves eye medially and laterally. Sukh Singh, MD

Source

https://www.thepocusatlas.com/ocular


Metadata