Orbital - Orbital Abscess
Caption
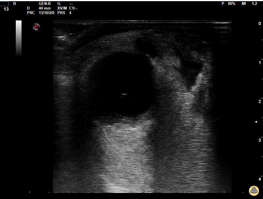
Orbital cellulitis evolving into abscess in diabetic patient. Multiple pus collections are visible on the medial side. Dr. Marco Garrone
Orbital cellulitis evolving into abscess in diabetic patient. Multiple pus collections are visible on the medial side. Dr. Marco Garrone