Orbital - ONSD for ICP

← Back to List

Orbital - ONSD for ICP

Caption

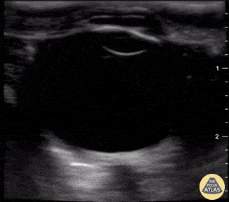
A patient presented with spontaneous intracranial hemorrhage (ICH) secondary to arteriovenous malformation (AVM). She reported severe HA for 3 days with progressive somnolence and associated vomiting. Assessment of her ONSD revealed a width just >5 mm, consistent with an elevated intracranial pressure (ICP). Tessa W. Damm, DO. Intensivist. Milwaukee, WI @DrDamm

Source

https://www.thepocusatlas.com/ocular


Metadata