Orbital - ONSD Double Take

← Back to List

Orbital - ONSD Double Take

Caption

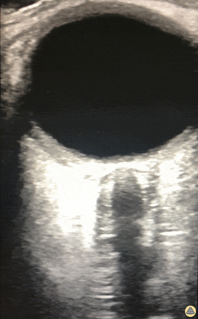
We used OSND to evaluate a patient with COVID-19 encephalitis and found evidence of increased intracranial pressure (ICP). Note, due to the high frequency probe used, we were able to appreciate fine detail including two hypoechoic boarders at each lateral edge of the optic nerve. It is the most lateral outer edge/ hypoechoic structure that represents the optic nerve sheath. Eric M. Siegal, MD, SFHM, FCCM Aurora Critical Care Service; Milwaukee, WI Adjunct Clinical Professor of Medicine University of Wisconsin School of Medicine and Public Health

Source

https://www.thepocusatlas.com/ocular


Metadata