Orbital - Endogenous Endophthalmitis

← Back to List

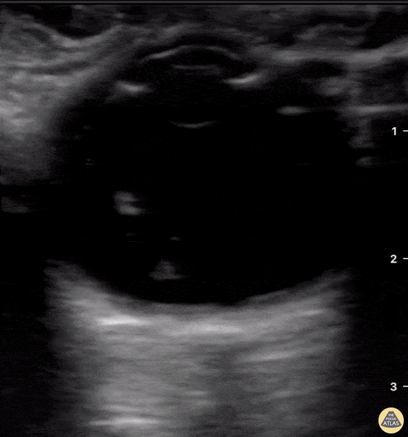
Orbital - Endogenous Endophthalmitis

Caption

A middle aged female with ESRD and longstanding percutaneous HD catheter with recent MSSA bacteremia was admitted with septic shock. She subsequently developed subacute bilateral visual loss (OS > OD). Clinical suspicion of endogenous endophthalmitis was initially supported by POCUS notable for heterogenous intraoccular material within vitreous. She was immediately started in intravitreal antibiotics in addition to previously initiated systemic antibiotics. Diagnosis of endogenous endophthalmitis was subsequently confirmed by vitrectomy. Tessa W. Damm, DO Intensivist, Critical Care Medicine & Neurocritical Care. Wisconsin, USA. @DrDamm

Source

https://www.thepocusatlas.com/ocular


Metadata