Orbital - Vitreous Hemorrhage

← Back to List

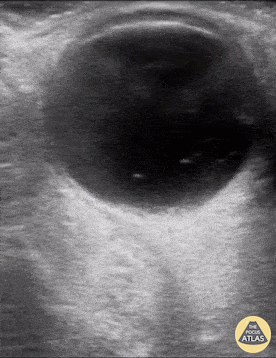
Orbital - Vitreous Hemorrhage

Caption

An 81 yo female on ASA presented with 6 hour hx of blurred vision in her right eye. Ocular POCUS demonstrated a hyperechoic clot, seen here as 'swirling' movement, with debris settling near the bottom of the globe when eye is not in motion (end of clip). In early presentation of vitreous hemorrhage when blood is still liquified, increasing the ultrasound gain can greatly assist with identification of pathology. Mandy Peach, MD @mandy_peach Saint John Regional Hospital. NB, Canada

Source

https://www.thepocusatlas.com/ocular


Metadata