Orbital - Ruptured Globe

← Back to List

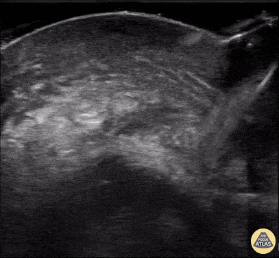
Orbital - Ruptured Globe

Caption

This patient sustained blunt trauma to the eye from a fireworks injury. CT scan performed prior to POCUS showed intra-orbital hematoma and complete absence of any globe tissue. The patient was taken to the OR for primary enucleation, washout, and closure. Earl “Quinn” Cummings, MD @resus_bae Assistant Professor; MUSC Emergency Medicine/Ultrasound; MUSC Pediatric Emergency Medicine

Source

https://www.thepocusatlas.com/ocular


Metadata