Bowel-GI - Pancreatic Duct Stones

← Back to List

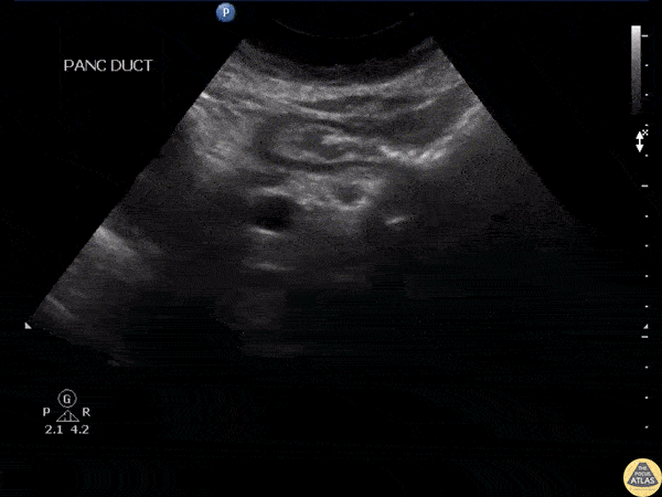
Bowel-GI - Pancreatic Duct Stones

Caption

RUQ evaluation of a patient with chronic pancreatitis revealed pancreatic stones visible as hyperechoic structures within the pancreatic duct. Image courtesy of Robert Jones DO, FACEP @RJonesSonoEM Director, Emergency Ultrasound; MetroHealth Medical Center; Professor, Case Western Reserve Medical School, Cleveland, OH View his original post here

Source

https://www.thepocusatlas.com/bowel


Metadata