Orbital - Anterior Lens Dislocation and Retinal Detatchment

← Back to List

Orbital - Anterior Lens Dislocation and Retinal Detatchment

Caption

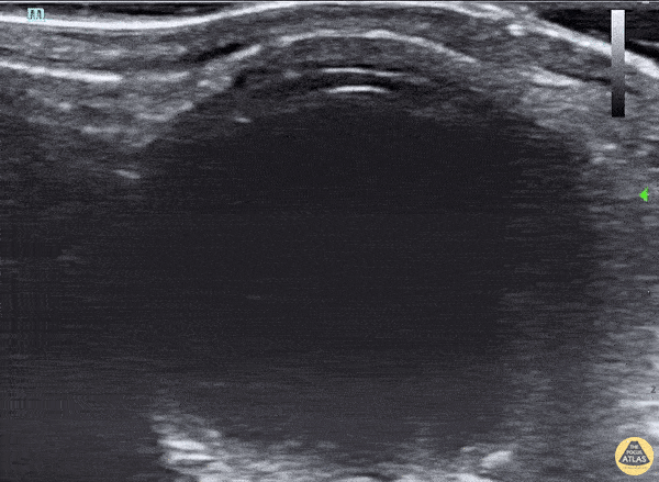
46 yo woman pmh multiple right eye surgeries presenting with atraumatic left eye pain, decreased vision, and mydriasis, which was initially concerning for acute angle-closure glaucoma. POCUS revealed anterior lens subluxation given the very shallow anterior chamber. Around 5% of acute angle-closure glaucoma is induced by lens subluxation. Retinal detachment, the hyperechoic line in the far field, can also be seen on POCUS. Ophthalmology successfully treated her with lensectomy and secondary intraocular lens implantation. Robert Adrian @RobertAdrianMD

Source

https://www.thepocusatlas.com/ocular


Metadata