Orbital - Metallic Foreign Body In Orbital Soft Tissue

← Back to List

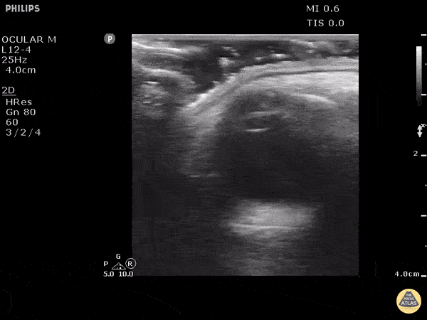
Orbital - Metallic Foreign Body In Orbital Soft Tissue

Caption

This is a clip from a patient presenting with foreign body sensation. They had a piece of metal hit their eye a week ago. Previously seen for complaint but told no foreign body seen on exam. On ultrasound clip a hyperechoic structure can be seen adjacent to the globe. Note that with dynamic eye movements the foreign body does not move suggesting this is outside of the globe. Image courtesy of Robert Jones DO, FACEP @RJonesSonoEM Director, Emergency Ultrasound; MetroHealth Medical Center; Professor, Case Western Reserve Medical School, Cleveland, OH View his original post here

Source

https://www.thepocusatlas.com/ocular


Metadata