Orbital - Lens Subluxation

← Back to List

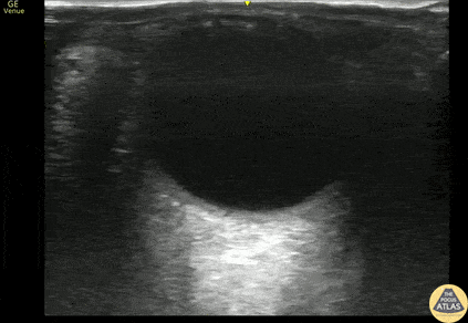
Orbital - Lens Subluxation

Caption

Middle aged male with prior bilateral lens replacement presented with atraumatic vision loss. POCUS performed that demonstrates subluxed lens without retinal detachment. Discussed with ophthalmology and pt was discharged with 24 hour follow up with ophthalmology, with eventual plan for operative repair. Michael Maurantonio, PGY3, Denver Health Residency in Emergency Medicine Michael Del Valle, Fellow, Denver Health Ultrasound Fellowship

Source

https://www.thepocusatlas.com/ocular


Metadata