Bowel-GI - Pneumoperitoneum
Caption
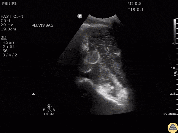
POCUS reveals air bubbles rising in a patient with a perforated bowel obstruction resulting in a pneumoperitoneum.
POCUS reveals air bubbles rising in a patient with a perforated bowel obstruction resulting in a pneumoperitoneum.