Orbital - Intraoccular Lens Subluxation

← Back to List

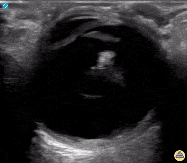
Orbital - Intraoccular Lens Subluxation

Caption

A 50 year old male with a prior history of bilateral intraoccular lens (IOL) transplants presented to our ED with sudden onset foggy vision in his right eye while getting out of the shower. He was unable to participate in visual acuity due to the extent of his blurred. POCUS demonstrated “iridodonesis” and a provisional diagnosis of IOL subluxation/dislocation was made. Ophthalmology was consulted and confirmed the diagnosis. Dr. Piaseczny, PGY4 Emergency Medicine, Queen's University, Kingston, Ontario, Canada

Source

https://www.thepocusatlas.com/ocular


Metadata