Orbital - Diagnosis of CRAO on POCUS

← Back to List

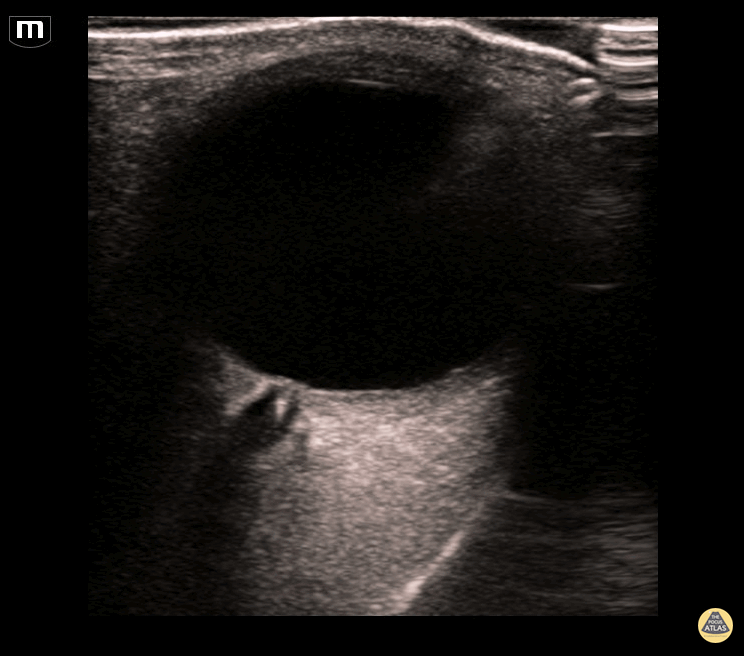
Orbital - Diagnosis of CRAO on POCUS

Caption

This point-of-care ocular ultrasound was obtained on an elderly female presenting with complete unilateral vision loss. This image demonstrates a "spot sign", which is a hyperechoic density seen at the distal aspect of the optic nerve, representing an embolus within the central retinal artery. Expedient diagnosis and treatment of central retinal artery occlusion has the potential to save vision to the affected eye. Anthony Capraro, Kevin Kucharski, Tyler Madison

Source

https://www.thepocusatlas.com/ocular


Metadata