Renal/GU - "Light Saber Sign” Ureteral Jets

← Back to List

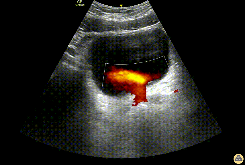
Renal/GU - "Light Saber Sign” Ureteral Jets

Caption

A 48-year old male presented to the ED with lower abdominal pain and flank pain presented to the ED. A renal and bladder point-of-care ultrasound was done to evaluate for hydronephrosis which revealed distinct bilateral ureteral jets, which we dubbed the “light saber sign.” Dr. Jannie Bolotnikov, PGY-1, Denver Health Emergency Medicine Residency Dr. Fred Milgrim, Ultrasound Fellow, Denver Health Emergency Medicine

Source

https://www.thepocusatlas.com/renal


Metadata