Renal/GU - Bladder Stone

← Back to List

Renal/GU - Bladder Stone

Caption

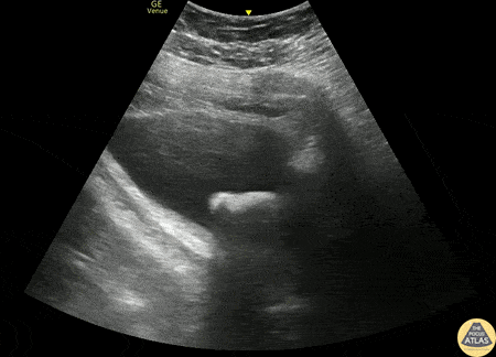
70s M with past medical history of BPH and multiple recent UTIs presented as a referral to the ED after an outpatient CT KUB showed a large bladder stone. POCUS was performed and demonstrates a >3cm bladder stone present which obstructs urinary outflow. The patient was admitted and taken for surgery the next day. Phillip Breslow MD, Resident, Denver Health Residency in Emergency Medicine Mike Heffler MD, Ultrasound Fellow, Denver Health Ultrasound Fellowship

Source

https://www.thepocusatlas.com/renal


Metadata