Renal/GU - Bladder Diverticulum

← Back to List

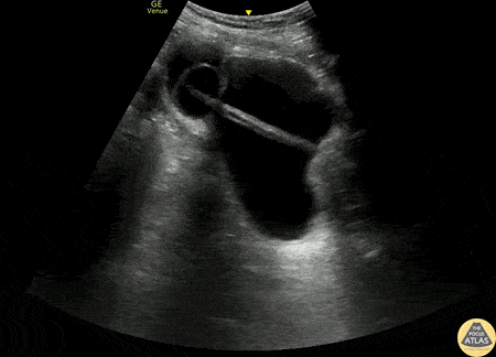
Renal/GU - Bladder Diverticulum

Caption

60s M with past medical history of BPH with chronic indwelling foley catheter was referred to the ED after his foley catheter was noted to be not draining properly after replacement in urology clinic. POCUS demonstrated the foley balloon and distal catheter in a large bladder diverticulum, with resulting urinary retention. Under real time guidance, the balloon was deflated, retracted, and re-inflated in the bladder, and the bladder diverticulum and bladder both decompressed appropriately. Molly Thiessen MD, Attending Physician, Denver Health Residency in Emergency Medicine

Source

https://www.thepocusatlas.com/renal


Metadata