Renal/GU - Pheochromocytoma

← Back to List

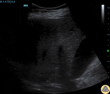
Renal/GU - Pheochromocytoma

Caption

This image demonstrates an adrenal mass on the right kidney which was a known pheochromocytoma. Image courtesy of Cody McIlvain, MD. Resident, Emergency Medicine; Denver Health Residency in Emergency Medicine, Denver, Colorado.

Source

https://www.thepocusatlas.com/renal


Metadata