Renal/GU - Subcapsular Renal Hematoma

← Back to List

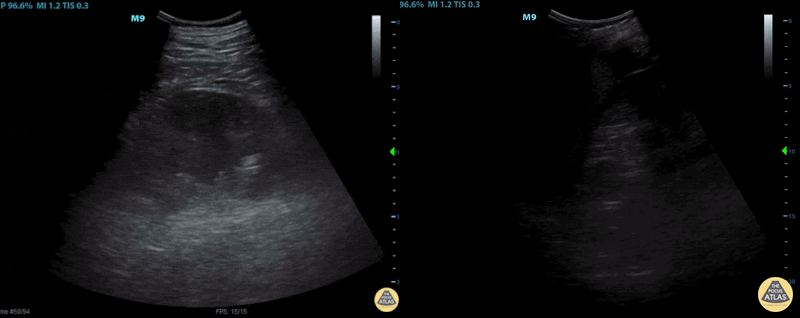
Renal/GU - Subcapsular Renal Hematoma

Caption

This image demonstrates a subcapsular hematoma of the left kidney (left image) with intraperitoneal hemorrhage (right image). Image courtesy of Cody McIlvain, MD. Resident, Emergency Medicine; Denver Health Residency in Emergency Medicine, Denver, Colorado.

Source

https://www.thepocusatlas.com/renal


Metadata