Renal/GU - Moderate Hydronephrosis

← Back to List

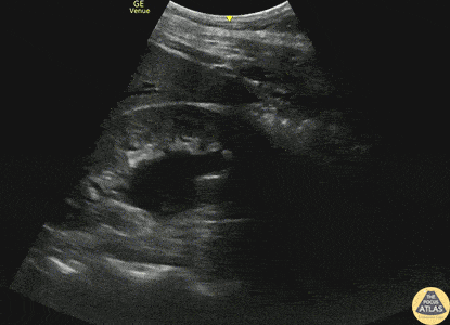
Renal/GU - Moderate Hydronephrosis

Caption

30s M with no past medical history presented with acute onset right sided flank pain. POCUS demonstrated moderate hydronephrosis of the right kidney with evidence of hydroureter as well. Moderate hydronephrosis is seen here with distension of the renal pelvis as well as distension of most of the renal calyces, with intact renal cortical thickness. This patient had his symptoms controlled and was able to be discharged. Dr. Mark Serpico, PGY3 Denver Health Residency in Emergency Medicine

Source

https://www.thepocusatlas.com/renal


Metadata