← Back to List
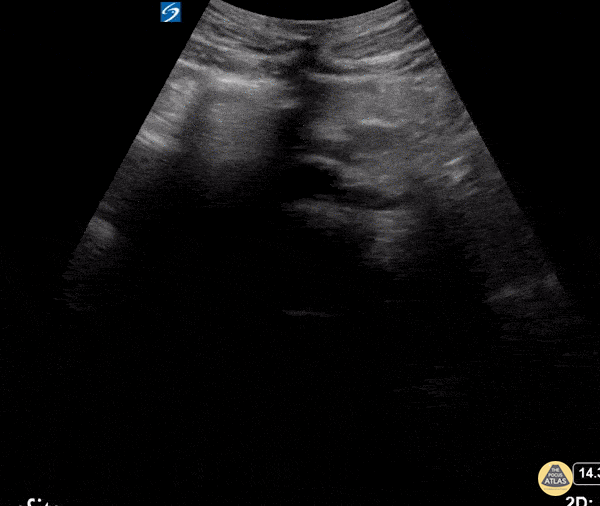
Incidentally found horseshoe kidneys in pelvis joined at the isthmus. Dr. Coneybeare
https://www.thepocusatlas.com/renal
View: Unspecified Parasternal Long Axis Parasternal Short Axis Apical Four-Chamber Subcostal Four-Chamber Subcostal Inferior Vena Cava Right Upper Quadrant Left Upper Quadrant Suprapubic Longitudinal Suprapubic Transverse Subxiphoid Anterior Thoracic Phrenic
Normal:
Tags:
Notes: