Renal/GU - RUQ Kidney Long Axis

← Back to List

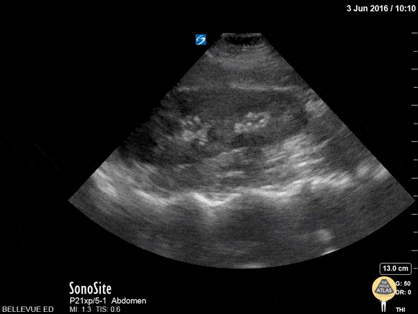
Renal/GU - RUQ Kidney Long Axis

Caption

This clip fans through the right kidney in long axis. The hyperechoic central area is the renal pelvis and calyces, the darker hypoechoic area surrounding it is the renal cortex. The darker/anechoic spots between the cortex and the medulla are renal pyramids. Deep to the kidney we see the hyperechoic spine. On the left of the screen and superior to the kidney is the liver which has a similar echogenicity to the renal cortex. Hannah Kopinksi and Dr. Lindsay Davis - NYU Emergency Medicine

Source

https://www.thepocusatlas.com/renal


Metadata