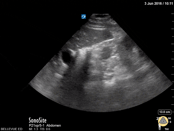
Renal/GU - Kidney Transverse

← Back to List

Renal/GU - Kidney Transverse

Caption

This is a clip of the right upper quadrant structures in transverse view. The kidney has a hyperechoic center made up of the renal pelvis and calyces, surrounded by a hypoechoic cortex similar in echogenicity to the liver (seen to the left of the screen). Within the liver we see prominent anechoic vasculature. A dark rib shadow moves across the field as the sonographer fans. Hannah Kopinksi and Dr. Lindsay Davis - NYU Emergency Medicine

Source

https://www.thepocusatlas.com/renal


Metadata