Renal/GU - Kidney Doppler

← Back to List

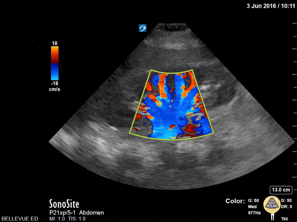
Renal/GU - Kidney Doppler

Caption

This clip shows a kidney with color doppler overlay. Using color doppler is helpful in distinguishing hydronephrosis from prominent renal vasculature which can look similar in 2D mode. In this case, the color flow suggests that what may appear to be a dilated renal pelvis is likely just plump blood vessels. Hannah Kopinksi and Dr. Lindsay Davis - NYU Emergency Medicine

Source

https://www.thepocusatlas.com/renal


Metadata