Renal/GU - Polycystic Kidney
Caption
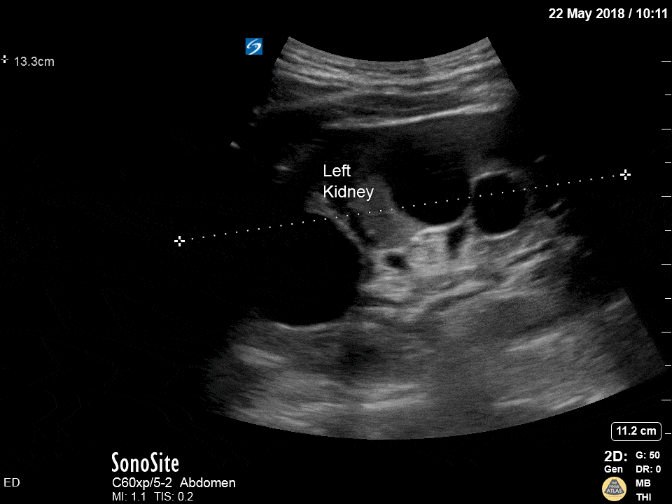
Hydronephrosis, right? Wrong! These are polycystic kidneys! Differentiate the two by looking for communication with the collecting system. Dr. Michael Trauer
Hydronephrosis, right? Wrong! These are polycystic kidneys! Differentiate the two by looking for communication with the collecting system. Dr. Michael Trauer