Renal/GU - Decreased Right Ureteral Jet

← Back to List

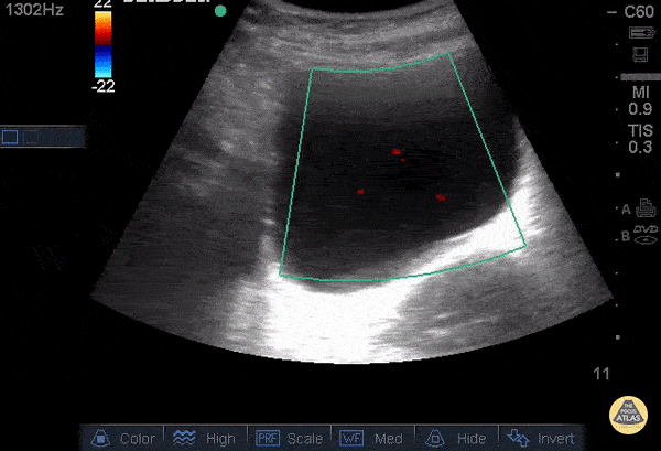
Renal/GU - Decreased Right Ureteral Jet

Caption

An 88 year old female with history of renal stones presented with flank pain and a nonfunctioning nephrostomy tube. Bedside US showed severe hydronephrosis (see other image). Using color Doppler over the bladder, the ureteral jets were evaluated. The diagnosis of obstruction was made, due to the absence of the right jet. Dr. Steven Greenstein, Dr. Maan Al Dubayan, Dr. Andrew Aherne - Kings County Emergency Medicine

Source

https://www.thepocusatlas.com/renal


Metadata