Renal/GU - Severe Hydronephrosis

← Back to List

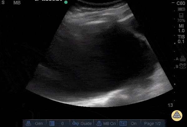
Renal/GU - Severe Hydronephrosis

Caption

An 88 year old female with history of renal stones presented with flank pain and a nonfunctioning nephrostomy tube. Bedside US showed severe hydronephrosis. This is demonstrated by dilation of renal pelvis and ballooning of renal calyces. One calyx measured approximately 15cm. It was later confirmed via CT that the nephrostomy tube had been dislodged and coiled in the abdominal muscles. Dr. Steven Greenstein, Dr. Maan Al Dubayan, Dr. Andrew Aherne - Kings County Emergency Medicine

Source

https://www.thepocusatlas.com/renal


Metadata