Renal/GU - Severe Hydronephrosis - Congenital

← Back to List

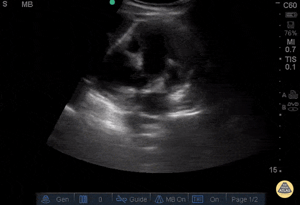
Renal/GU - Severe Hydronephrosis - Congenital

Caption

16 yo F who is known to have non-neurogenic neurogenic bladder, HTN. Presented to ED with severe bilateral flank pain for 2 weeks, worsening, dull in nature, associated with decreased urination, nausea, vomiting multiple times of food contents. Exam showed severe diffuse abdominal tenderness with bilateral CVA tenderness with light touch. POCUS showed bilateral severe hydronephrosis (L>R) without bladder enlargement. Labs showed elevated creatinine from 1 into 3. Patient then transferred to outside hospital for Pediatric Urology. Dr. Maan Al Dubayan - Kings County Emergency Medicine

Source

https://www.thepocusatlas.com/renal


Metadata